Contact
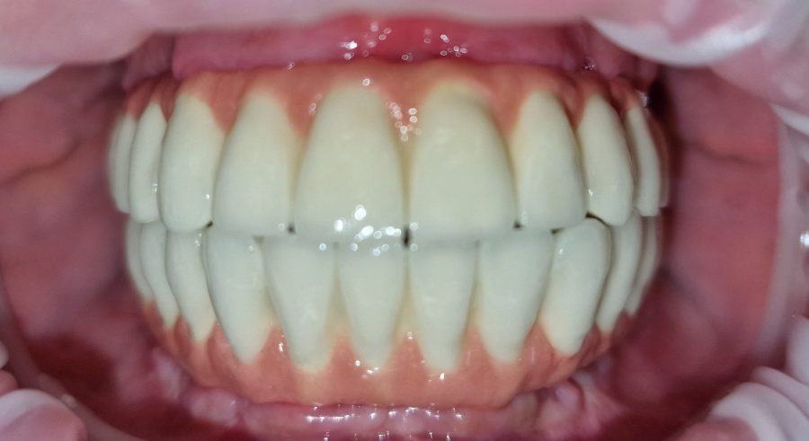
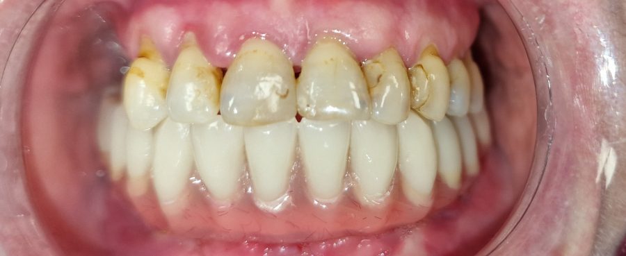
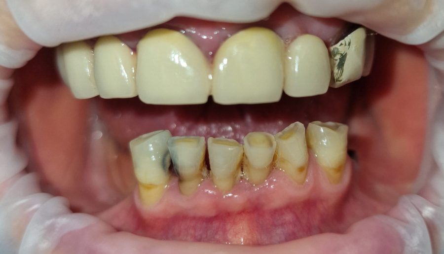
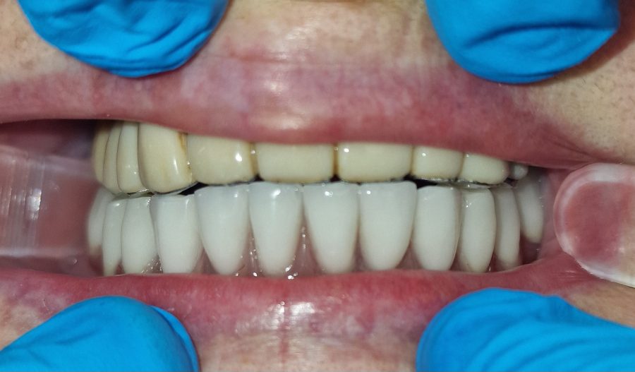
Programează chiar acum o vizită la clinică și beneficiază de consultație și plan de tratament gratuit!

Clinica Arvinti
Strada Câineni, nr. 27, Ploiești
Programează-te acum
Fă-ți o programare prin formularul alăturat și beneficiază de o consultație gratuită!

Strada Câineni, nr. 27, Ploiești